smile gallery Port Chester
View our Smile Gallery

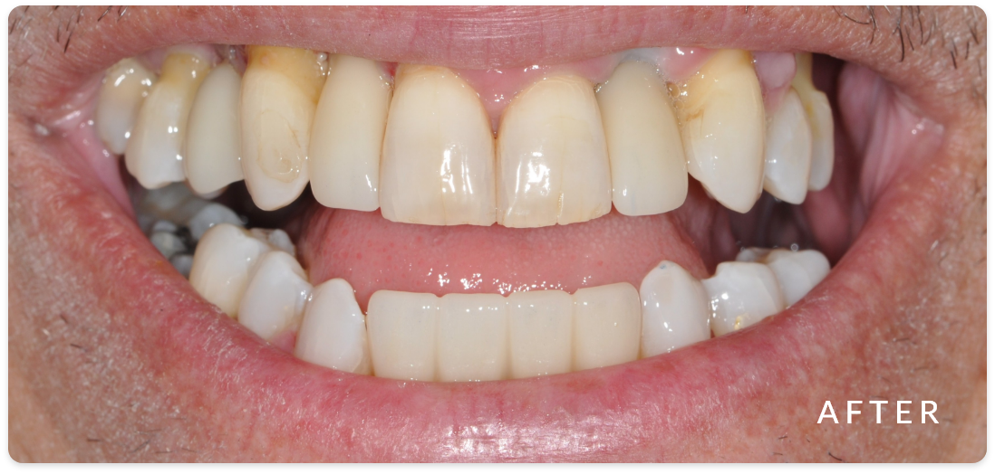
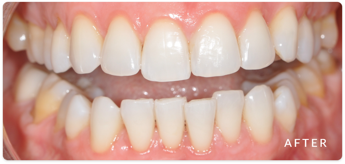
Discover real smile transformations from patients who trust our team at Westchester Gentle Dentistry in Port Chester, NY. Our Smile Gallery showcases before-and-after results from cosmetic and restorative dentistry treatments - including Invisalign®, veneers, crowns, implants, and teeth whitening — designed to enhance health, function, and appearance. Every case reflects our gentle approach and attention to detail. At WGD, smile transformations happen here.
Invisalign
Invisalign uses clear, custom-made aligners to gently straighten teeth without the look or feel of traditional braces. This orthodontic treatment is ideal for correcting crowding, spacing, and bite issues while allowing you to eat, brush, and floss normally.
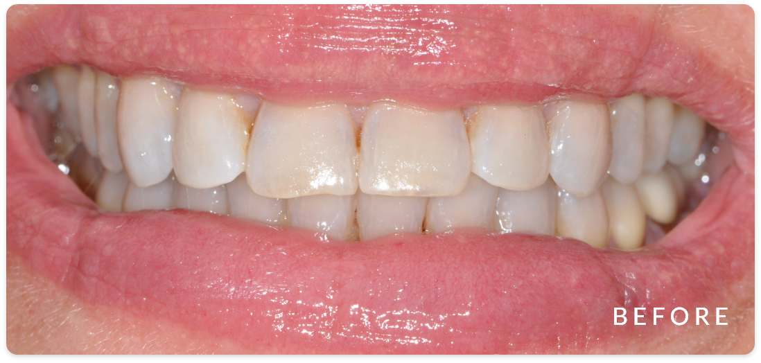
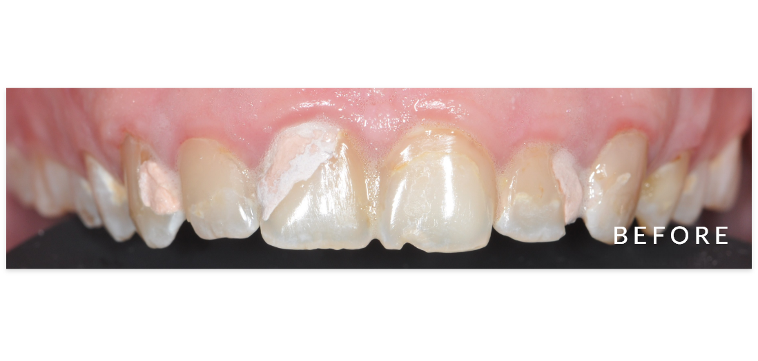
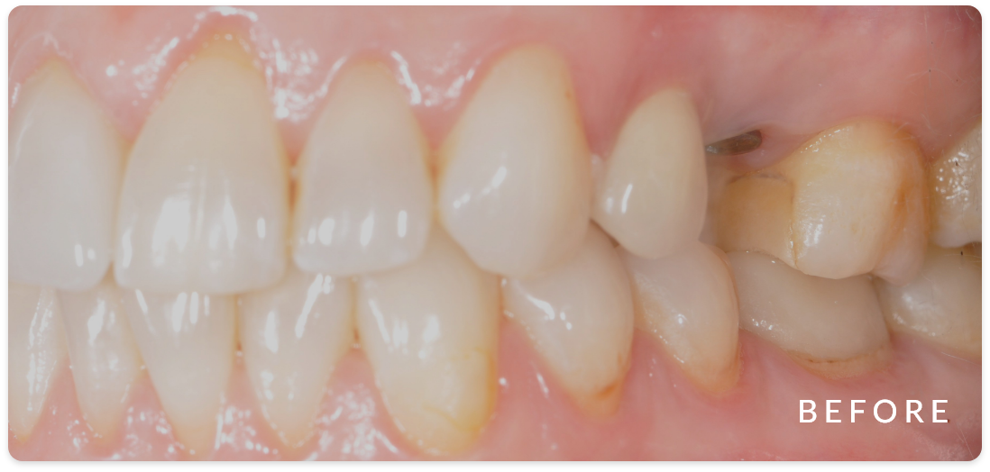
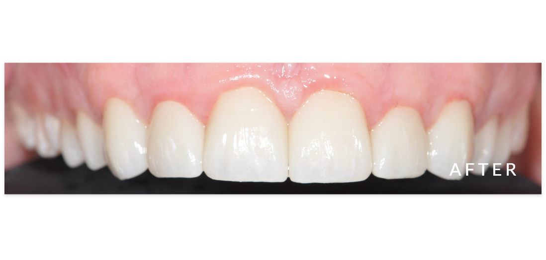
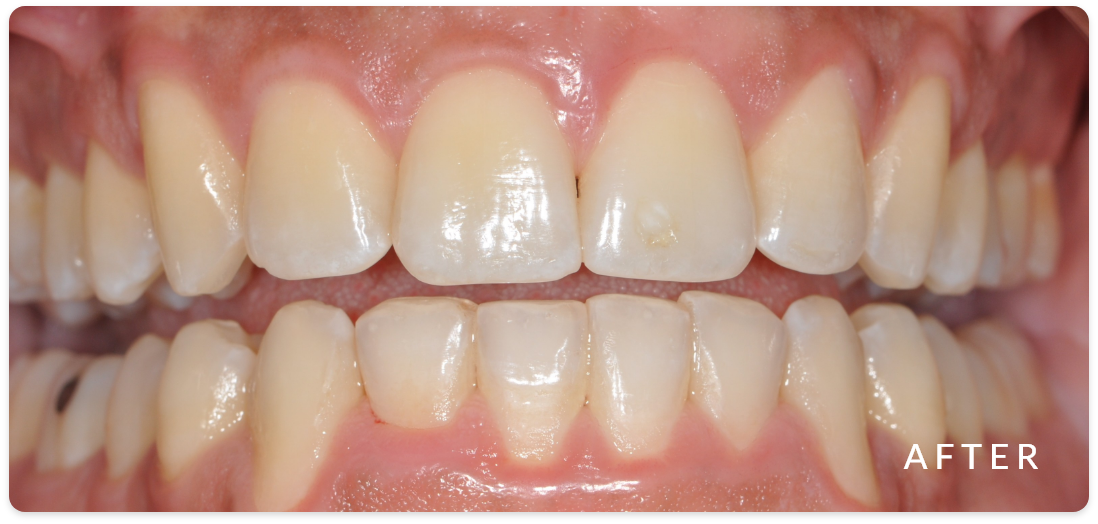
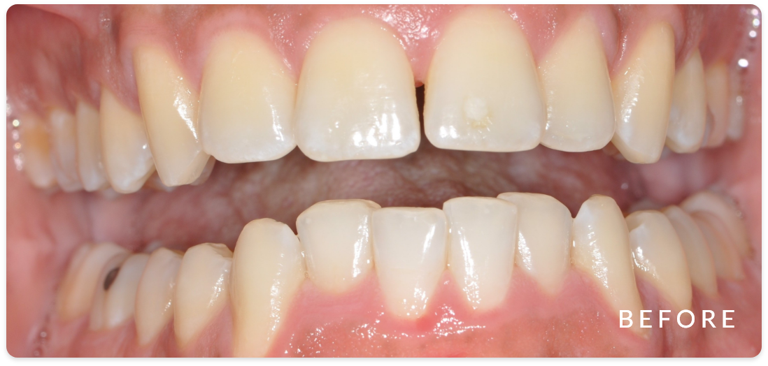
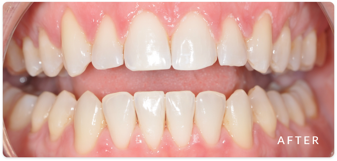
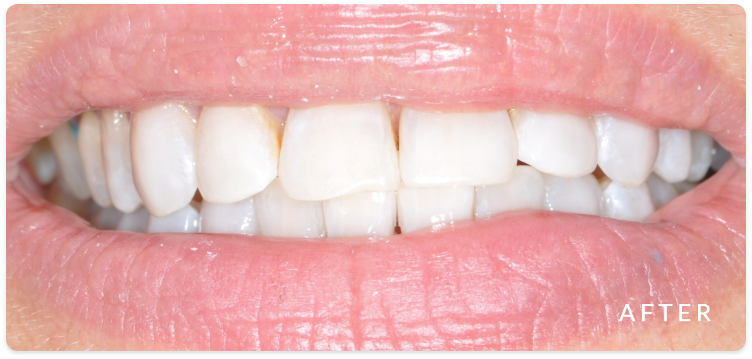
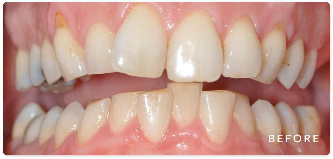
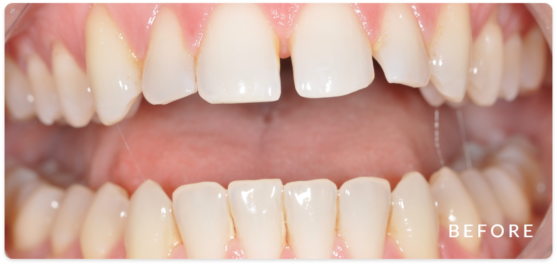
Veneers
Dental veneers are thin, custom porcelain shells designed to cover the front surfaces of teeth and enhance their shape, color, and alignment. Veneers are commonly used to correct chips, discoloration, gaps, and uneven teeth for a more uniform smile.
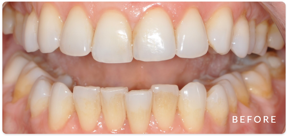
Teeth Whitening
Professional teeth whitening is a fast and effective way to brighten your smile by removing deep stains caused by coffee, wine, aging, and more. Unlike over-the-counter products, in-office whitening delivers noticeable results in a short amount of time.
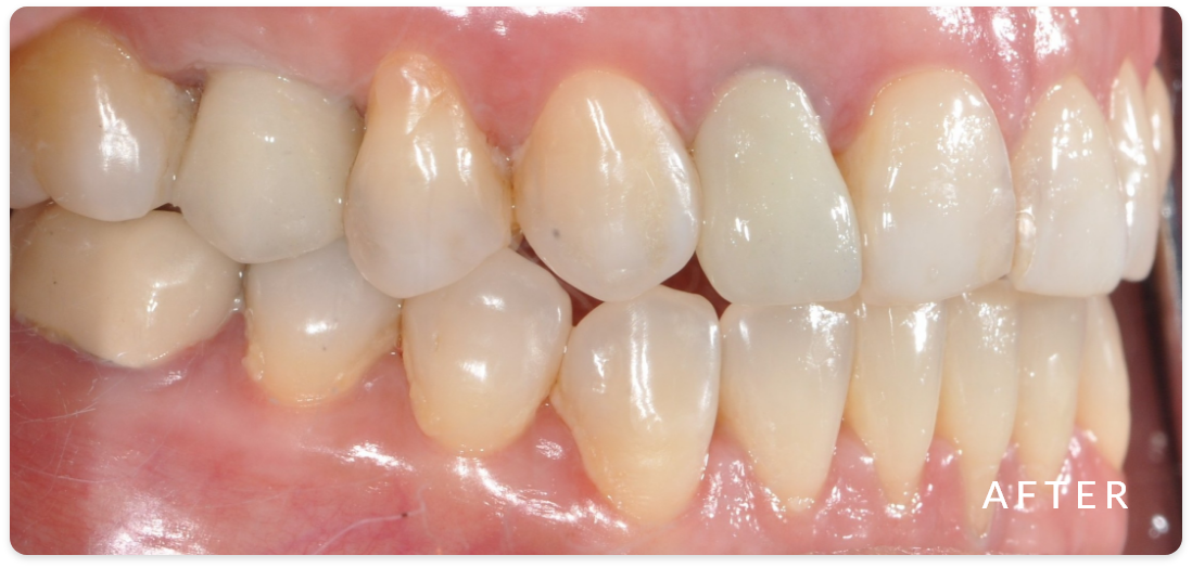
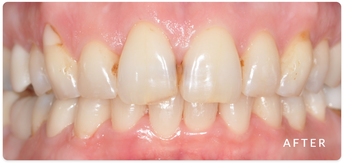
Crowns
Dental crowns are custom restorations that cover and protect damaged, weakened, or heavily restored teeth. Crowns help restore strength, function, and appearance while blending seamlessly with your natural smile.
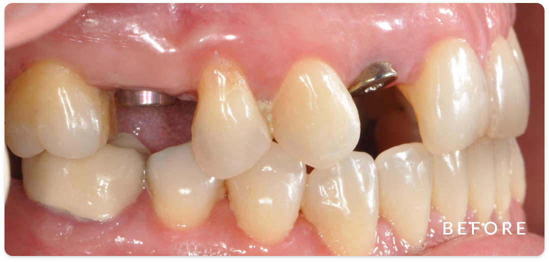
Dental Implants
Dental implants are a permanent solution for replacing missing teeth, designed to look, feel, and function like natural teeth. They help preserve jawbone health, improve chewing ability, and restore confidence in your smile.
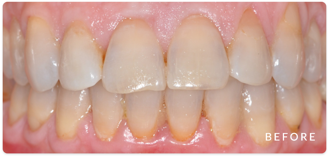
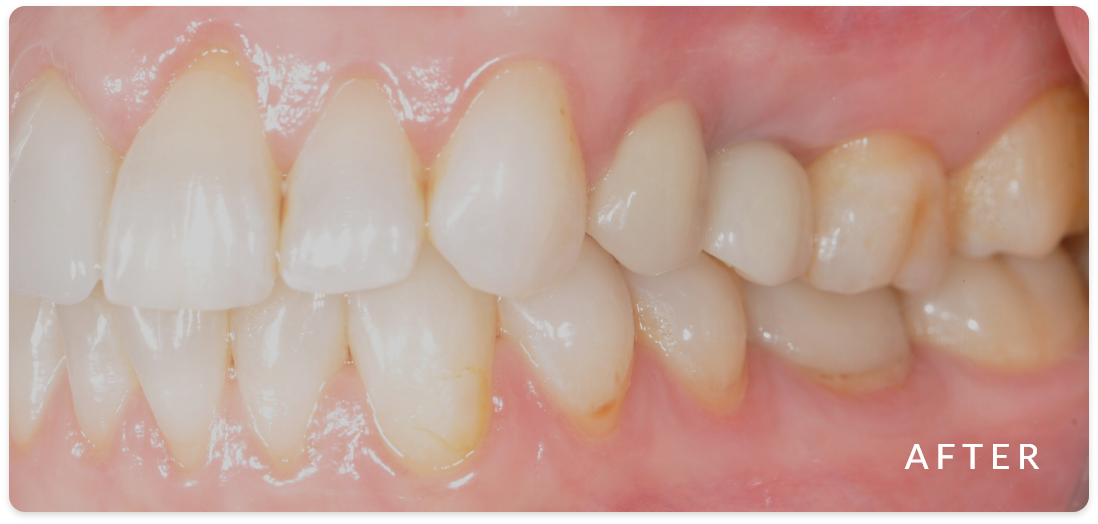
LANAP® Gum Treatment
LANAP® is a laser-assisted periodontal treatment used to treat gum disease without traditional surgery. This minimally invasive approach helps reduce inflammation, eliminate bacteria, and promote healing while preserving healthy gum tissue.
Pinhole Gum Surgery (Coming Soon!)
Pinhole gum surgery is a minimally invasive procedure designed to treat gum recession without sutures or grafts. This technique gently repositions the gum tissue to cover exposed tooth roots, reducing sensitivity and improving aesthetics.



