on All-Inclusive Invislaign® $275.31 monthly
$0 down 0% interest for 12 months Totaling approximately $3,937 with approval through Cherry
Invisalign Clear Aligners Port Chester
A Straighter Smile Can Change Your Life

Invisalign is one of the most popular orthodontic treatments around, and these days more and more patients are turning toward these clear aligners to achieve straighter, healthier, and more attractive smiles. The Invisalign process also holds many advantages over traditional metal braces, and it’s hard not to love the overall convenience and discretion of the treatment. To learn more about Invisalign in Port Chester or schedule an appointment for yourself or a loved one, contact us today!
Why Choose Westchester Gentle Dentistry for Invisalign Clear Aligners?
- Dental Team with Stellar Reputation in Port Chester
- Advanced Technology Ensures Optimal Outcomes
- Faster Treatment Timelines Than Metal Braces
How Invisalign Works at WGD
Invisalign does the exact same job as traditional braces – but rather than relying on metal brackets and wires that are bonded to the teeth, clear plastic aligners are worn over them instead. These trays apply gentle, targeted pressure to the teeth and encourage them to move into healthier, straighter positions. Patients must wear the trays continuously, only removing them to eat and brush their teeth, and will advance to new sets of trays as their treatment progresses.
The Benefits of Vivera Retainers
After completing Invisalign treatment, keeping your new smile in place is just as important as creating it. That’s where Vivera® retainers come in. These clear retainers are designed by the same experts behind Invisalign and offer a reliable, comfortable, and discreet way to maintain your results for the long term.
Here’s why so many patients love Vivera:
- Virtually Invisible – Just like Invisalign aligners, Vivera retainers are made from clear, high-quality material that’s hardly noticeable when worn.
- Strong & Long-Lasting – Vivera retainers are made from a material that’s up to 30% stronger than other clear retainers, meaning less chance of cracks or wear over time.
- Custom Fit for Comfort – Each set is 3D-printed using your final Invisalign scan, ensuring a snug, personalized fit that’s easy to wear day or night.
- Removable Convenience – You can take them out when eating, brushing, or flossing—making them a hassle-free part of your daily routine.
- Ongoing Smile Protection – Vivera helps safeguard the progress you’ve made, preventing your teeth from shifting back over time.
If you’ve recently completed Invisalign—or are wrapping up treatment soon—ask our team about getting started with Vivera. It’s a simple next step to keep your smile looking its best for years to come.
The Benefits of Invisalign

Patients who undergo Invisalign treatment are unlocking access to a long list of enticing, life-changing benefits – and these clear aligners certainly hold several advantages over traditional metal braces:
- The trays are removable, meaning that patients don’t have to follow the same dietary guidelines that are required for braces.
- As the name implies, Invisalign aligners are mostly invisible and undetectable when worn, which is why many patients prefer them over noticeable, unnatural-looking metal braces.
- On average, Invisalign treatment timelines are shorter than those of metal braces; the average patient will wear their aligners anywhere from 12 to 18 months, while patients with braces usually undergo treatment for 18 to 22 months.
Conditions Invisalign Can Treat

It’s important to note that although Invisalign is one of the most enticing orthodontic solutions out there, it isn’t suited for every patient. Once you’ve attended your consultation with our team, we’ll be able to quickly determine if your case can be resolved with Invisalign. Some issues, often those that are complex, might require traditional orthodontic treatment. However, Invisalign is usually fully capable of addressing things such as overlapping or crowded teeth, bite issues like overbites and underbites, and gaps.
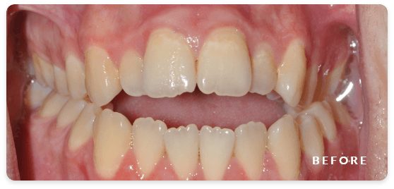
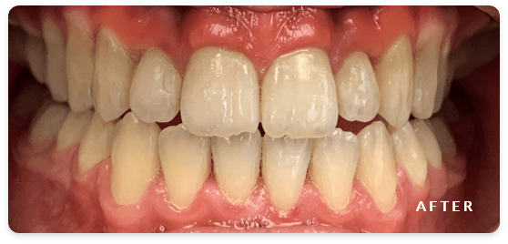
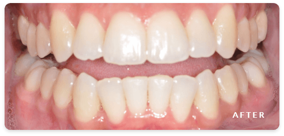
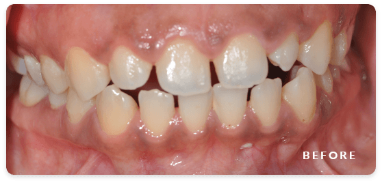
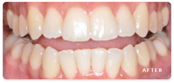
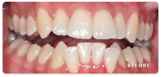
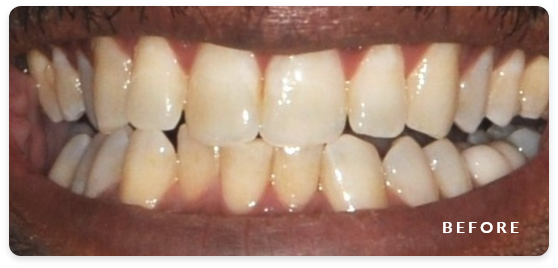
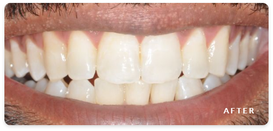
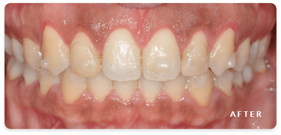
Invisalign’s Dramatic Results
Invisalign delivers more than discreet orthodontic treatment—it provides highly visible results that stand out for all the right reasons. With it, patients achieve improved function and a more confident smile without the look of traditional braces. Each stage of treatment builds toward noticeable transformations that are easy to see and feel. Below, you’ll find real before-and-after photos showcasing the remarkable outcomes our patients have enjoyed.





